『美感』─建立於和諧的比例關係,你知道牙齒也有「黃金比例」嗎?
每個人牙齒天生就有很多種不同形狀,牙醫師不只照顧牙齒的健康,更關心牙齒的排列位置與角度。因為當你一笑,臉部肌肉帶動表情,牙齒與笑容的組合,便可由對照圖看出其中差異。「藝術牙醫師改變的是牙齒,但是你改變自己的人生。」透過矯正治療調整牙齒的排列比例,美麗就從微笑的整齊牙齒開始。
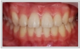
亂牙案例 1

矯正前 : 犬齒重疊,外暴情形

矯正後 : 恢復咬合功能與美觀

矯正前 : 犬齒重疊,外暴情形

矯正後 : 恢復咬合功能與美觀
『美感』─建立於和諧的比例關係,你知道牙齒也有「黃金比例」嗎?
每個人牙齒天生就有很多種不同形狀,牙醫師不只照顧牙齒的健康,更關心牙齒的排列位置與角度。因為當你一笑,臉部肌肉帶動表情,牙齒與笑容的組合,便可由對照圖看出其中差異。「藝術牙醫師改變的是牙齒,但是你改變自己的人生。」透過矯正治療調整牙齒的排列比例,美麗就從微笑的整齊牙齒開始。
亂牙案例 1



