Print
Category: 矯正案例

暴牙矯正案例

矯正前 : 牙齒外暴不整情形

矯正後 : 改善外暴,調整為正確咬合

 

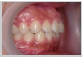
案例1

矯正前
矯正後
矯正前
矯正後

 

案例2

矯正前後外觀

矯正前
矯正後
矯正前
矯正後

 

案例3

矯正前後外觀

矯正前 嚴重外暴情形
矯正後 達到理想外觀及咬合功能