擁有自信笑容是每個人所期望的,現代大眾對於外表的美觀需求也越來越高,所以也更勇於接受矯正治療,近年也來對矯正器接受度相對提高。。
但是,對於工作上有高度美觀需求或愛美的人士,則是希望能夠不影響外觀情況下,同樣達到矯正的效果。「舌側矯正術」即符合這項要求,就像隱形矯正器一樣,外表完全看不出來在做矯正,讓你在不被人發覺的情況下,一天一天悄悄變漂亮。

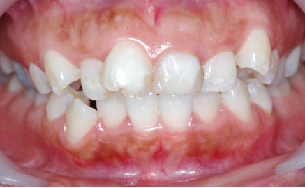
矯正前

矯正中

矯正後
擁有自信笑容是每個人所期望的,現代大眾對於外表的美觀需求也越來越高,所以也更勇於接受矯正治療,近年也來對矯正器接受度相對提高。。
但是,對於工作上有高度美觀需求或愛美的人士,則是希望能夠不影響外觀情況下,同樣達到矯正的效果。「舌側矯正術」即符合這項要求,就像隱形矯正器一樣,外表完全看不出來在做矯正,讓你在不被人發覺的情況下,一天一天悄悄變漂亮。


