不銹鋼牙套
乳牙套的好處是代替傳統填補物容易脫落的缺點,並可保護乳牙及預防蛀牙和恢復咬合功能,當小朋友蛀牙較大時,通常會先牙髓治療,治療所剩下的齒質會變得薄弱,建議幫乳牙裝上乳牙套,以免乳牙再咀嚼時不經意咬裂。

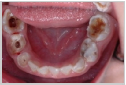
治療前

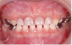
治療後
小朋友也有漂亮的權利
很多家長常常忽略前牙的保健,以為很快就會換牙,蛀掉的牙齒就必須接受治療,以免影響恆牙的生長,讓蛀掉的牙齒恢復原來的樣子,不僅讓孩子在外觀上的改變,咀嚼也不是問題,也不再有疼痛感,給孩子們自信與健康,其實小朋友讓牙齒美觀後他們得自信心跟快樂是大人沒辦法理解的(陳醫師許多年的感覺)

治療前

治療後
乳齒重建
治療前:前牙因奶瓶性齲齒導致前牙蛀光,咬合功能喪失。治療後:重建前牙和後牙牙套,恢復美觀及其咬合功能

治療前

治療後

治療前

治療後
空間維持器
空間維持器的目的是為了將提早拔除的乳牙空間維持下來,將來恆牙萌發時才不會因空間不足而排列不整。

治療前

治療中

治療後
 
    
     
						